El trabajo, señala Isidro Miguel Martín, nace en el marco de su tesis doctoral y busca «mejorar la exactitud y la precisión» de una prueba decisiva para determinar la condición de minoría de edad.
El médico e investigador de la Universidad de La Laguna, Isidro Miguel Martín, presenta, junto a la ingeniera informática marroquí Sofía Bourhim, un sistema que emplea inteligencia artificial para estimar de forma automatizada la edad ósea de menores migrantes, proyecto con el que resultan ganadores del Africa Canaries Challenge. El trabajo nace en el marco de su tesis doctoral y busca «mejorar la exactitud y la precisión» de una prueba decisiva para determinar la condición de minoría de edad.
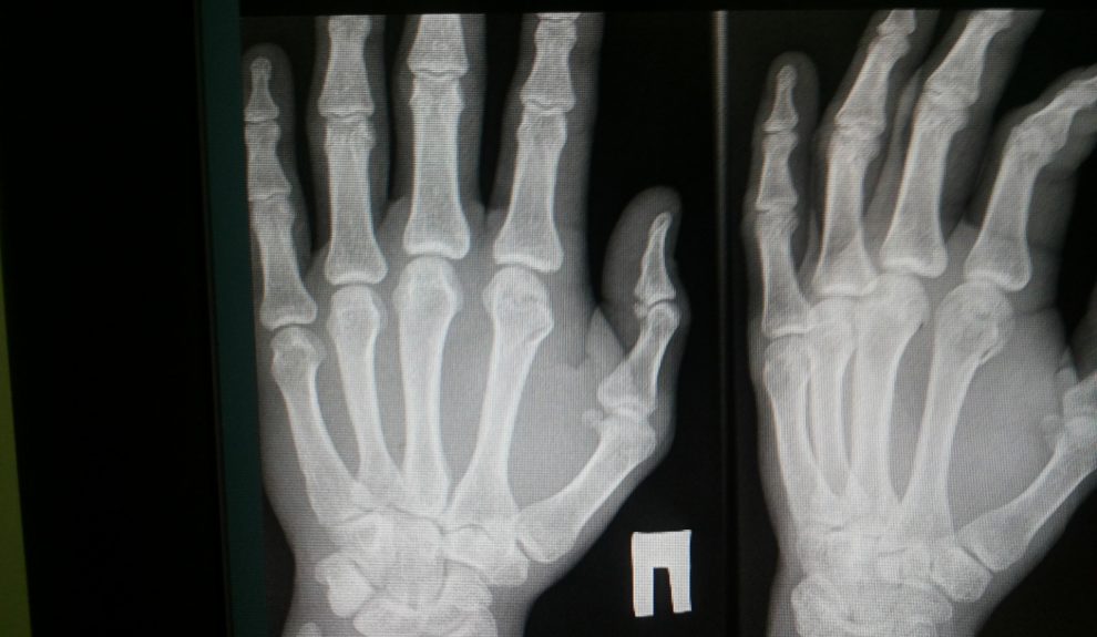
Martín explica que el procedimiento vigente compara la radiografía de la mano izquierda con un atlas estadounidense elaborado con población caucásica de alto nivel socioeconómico en los años 50–70, lo que genera sesgos al aplicarlo a menores subsaharianos. «De una forma práctica, para que se visualice, un niño que tiene 16,5 años puede ser calificado actualmente como de 18 años», afirma, con errores «del orden de dos años» en niñas y «de un año y medio» en niños.
Inteligencia artificial
El nuevo método combina tablas de ajuste obtenidas en su investigación con un algoritmo que compara cada radiografía «con una biblioteca de imágenes» construida específicamente por países y etnias de origen. «La inteligencia artificial básicamente compara la radiografía del niño que llega con esas bibliotecas que yo ya previamente había trabajado», señala, subrayando que así la evaluación se hace «con el estándar comparativo de la población de la que proceden estos menores».
Reducir la inexactitud de la prueba
Las primeras pruebas muestran mejoras en tiempos y consistencia diagnóstica: el análisis manual de una imagen tarda unos diez minutos y la automatización lo reduce a «solo 15 segundos», además de disminuir la variabilidad entre observadores. «La piedra angular de este proyecto es reducir la inexactitud de la prueba: eliminamos el comparador americano y lo sustituimos por el comparador subsahariano», resume.
Para su despliegue, el equipo plantea dos líneas: cerrar la colaboración institucional con los Institutos de Medicina Legal de Tenerife y Las Palmas, el Gobierno y la Fiscalía, y reforzar la capacidad de cómputo con el supercomputador del ITER, en Tenerife. «Es importante seguir trabajando en la capacidad de cómputo para que la inteligencia artificial pueda realizar su trabajo en un tiempo razonable», indica, con el objetivo de ofrecer un aplicativo instalable en los institutos forenses.
Martín adelanta contactos internacionales, pero prioriza un desarrollo público por el impacto social del proyecto: «Creemos que quienes mejores pueden ejercer esa tutela siguen siendo las instituciones públicas», sin cerrar la puerta a futuras transferencias en ámbitos clínicos como fracturas, osteoporosis o artritis. «Todo lo que se trabaje no queda en vano» porque el algoritmo «se irá perfeccionando» a medida que crezca la base de datos, concluye.
 
			